All-on-4 Full Mouth Dental Implants - Katy, TX
Seamless Smiles Start Here

Listen to Gene's Story

Choose the Modern Solution
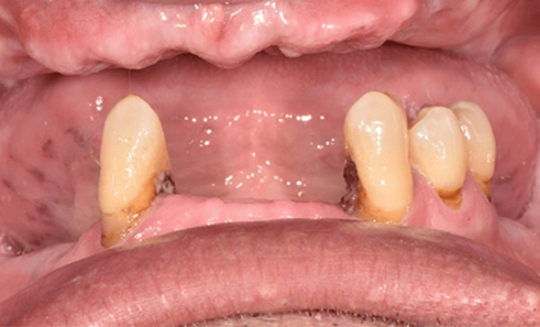
Losing a significant number of teeth can be a challenging experience, impacting not only the aesthetics of your smile but also your overall oral health and daily functionality. The void left by missing teeth can lead to difficulties in speaking and eating and may contribute to a decline in self-confidence. However, there’s a transformative solution – full mouth dental implants.
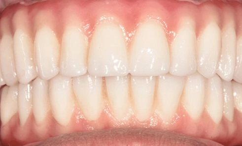
These advanced dental restorations provide a comprehensive and permanent answer to the challenges of extensive tooth loss. By replacing an entire arch of missing teeth with strategically placed implants, full mouth dental implants offer a complete and natural-looking smile and restore the essential functions of your teeth, allowing you to speak, eat, and smile with confidence once again.
Fixed Vs. Removable Implants
The difference between fixed and removable implants is simple – one is a fixed, permanent option, and one can be removed at the end of the day. While tried and true dentures may come to mind when considering smile restoration, full arch dental implants offer far superior restoration success and longevity. Dentures require messy adhesives and rely on suction to stay in place, causing them to shift and slip throughout the day. If these dentures move throughout the day, it can cause pain and discomfort and make them an unreliable option when it comes to eating, leaving you stuck to a soft food diet. Since dentures sit on your jawbone, they inevitably promote jawbone deterioration, causing sunken facial features and leading to a prematurely aged look.
Full mouth dental implants have a solution to the disadvantages of dental implants – a fixed, durable, and long-lasting solution. Full mouth dental implants are held in place by 4-6 dental implants surgically placed in the jawbone, promoting jawbone preservation. This hand-crafted prosthesis is designed to mimic the look and feel of natural teeth, so no one would even know you didn’t have your natural teeth! Since these full arch dental implants are secured to your jawbone, you can enjoy all your favorite foods without worrying about them slipping out!

Removable Dentures

Implant Supported Dentures

Full Mouth Dental Implants

Do You Qualify for Full Mouth Dental Implants?
Determining candidacy for full arch dental implants involves thoroughly assessing your oral health, bone density, and overall well-being. If you are experiencing extensive tooth loss, decay, or existing dental issues, you might be a candidate. Factors such as gum health and bone structure play a crucial role. A comprehensive consultation with our team will include a detailed examination, advanced imaging to assess bone density, and a discussion of your dental history and treatment goals.
This information helps tailor a personalized treatment plan, ensuring that full mouth dental implants are a suitable and effective solution for your unique needs. Suppose you are seeking a permanent and transformative solution to extensive tooth loss. In that case, exploring your candidacy for full mouth dental implants is crucial to achieving a complete and functional smile.

Making Your Permanent Smile Affordable
Choosing to restore your complete smile and regain control of your self-confidence shouldn’t cost more than you can afford. However, since full arch dental implant treatments can be costly due to surgical requirements, offering financial help through third-party financing options can help you with the cost by breaking them down into affordable monthly payments.
Delaying oral care and living with the pain and discomfort of missing teeth shouldn’t be your normal day-to-day. Let us help you discover affordable solutions to affording your dream smile!
The Proof is in Our Patients


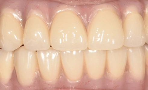
Full Mouth Dental Implants


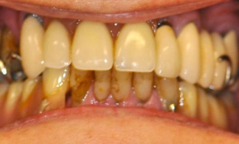
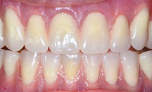
Implant-Supported Dentures


Full Mouth Dental Implants

Humphrey - Full Mouth Dental Implants
Find Out if You're a Candidate for Dental Implants

Answer the Following Questions To Learn more about our pricing and financing options.
FAQs
Full mouth dental implants replace all teeth in the upper or lower arch using strategically placed implants that support a fixed prosthetic restoration.