Cosmetic Dentistry - Katy, TX
Get a Picture-Perfect Smile

Listen to Gene's Story

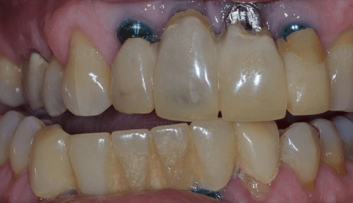
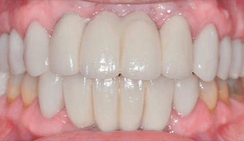
From Flawed to Flawless
Having missing teeth can cause significant problems in your everyday life. From pestering pain while eating to teeth shifting when they shouldn’t, missing teeth can create lasting issues affecting your entire mouth. The gaps left by missing teeth can make it difficult to eat, speak, and smile comfortably, leading to a range of issues from difficulty chewing to self-consciousness about your appearance. Fortunately, dental implants offer a transformative solution.
These artificial tooth roots provide a sturdy foundation for replacement teeth that look, feel, and function like natural ones. By addressing the root cause of missing teeth, dental implants can restore your smile, enhance your quality of life, and boost your self-esteem, allowing you to enjoy the benefits of a complete and functional set of teeth.
The Steps of a Smile Transformation
Our smile makeover treatments in Katy, TX are designed to restore the cosmetic appearance of your healthy teeth. During your consultation, our cosmetic dentist will learn about the smile you envision and your esthetic and oral health goals with treatment. Then, we’ll complete an examination of your oral structures and evaluate digital imaging to create a customized treatment plan. This plan not only improves the look of each individual tooth but creates a symmetrical smile that complements your facial esthetics, lips, and even skin tone.
Then, using high-quality and natural-looking materials alongside advanced technology, we complete your treatments with artistry and technical skill. The length of your treatment will be determined by the extent of your cosmetic tooth flaws and the types of treatment you’ll need to restore full smile esthetics. Once your treatment is complete, your flawless and beautiful smile will be revealed! With proper at-home hygiene care and professional dental appointments, you will be able to enjoy a gorgeous smile, improved confidence, and better oral health long-term.
Services We Provide
Porcelain Veneers
Learn More
Teeth Whitening
Learn More
Composite Fillings
Learn More
Aesthetic Crown Lengthening
Learn More
Dental Implants
Learn More
The Proof is in Our Patients


Porcelain Veneers


Crown & Bridges


Porcelain Veneers
Everything You Need to Know About Veneers




Am I A Candidate for Porcelain Veneers?
